Premier Dental Studio of Katy – Katy, TX
Transforming Smiles, Changing Lives
Led by Dr. Adeena Arain and Dr. Sadaf Maknojia, our mission is to blend compassionate care with advanced technology to help patients of all ages achieve confident, healthy smiles.
We Accept Most PPO Insurance Plans including Medicare Advantage and Dual Complete Plans.
Advanced Technology
Exceptional & Comfortable Experience
Same-Day Emergency Care
A New Standard In Dental Care
Creating Connections, Not Just Smiles - Heres Our Story
At Premier Dental Studio of Katy, we know dentistry isn’t just about teeth—it’s about people. Dr. Arain and Dr. Maknojia built this practice around their shared belief that every patient deserves honesty, compassion, and exceptional care. That philosophy shines through in everything we do, from your very first consultation to your ongoing care.
Our office proudly serves Katy and surrounding communities including Seven Meadows, Grand Lakes, Cinco Ranch, Fulshear, Richmond, and beyond. We’re here to welcome you to a practice that truly puts your needs first.
Premier Club Membership Plan
No Insurance? No Worries!
At Premier Dental Studio of Katy, our Premier Club Membership Plan makes quality dental care affordable for everyone. Enjoy routine cleanings, exams, x-rays, and an annual emergency visit, plus savings on other treatments—all with simple annual fees and no confusing insurance. Protect your smile and your budget by joining today!
Compassionate Care, Confident Smiles
Personalized Dentistry For The Whole Family
At Premier Dental Studio of Katy, we understand that every smile is unique—and so is every patient. That’s why we take time to get to know you, listen to your concerns, and create treatment plans that align with your goals. Whether you’re coming in for a routine check-up, considering cosmetic improvements, or seeking advanced restorative care, you can trust that our team will guide you with honesty, skill, and compassion. Our mission is simple: to deliver the kind of dentistry we’d want for our own families.
Appointments
Visit Us
Katy, TX 77494
Meet The Doctors
Meet Dr. Adeena Arain
Dr. Adeena Arain brings warmth, skill, and a true passion for helping patients transform their oral health. After gaining hands-on experience in the field as a dental assistant, she went on to earn her doctor of dental surgery degree (DDS) from the University of Texas School of Dentistry at Houston. Since then, Dr. Arain has been dedicated to providing exceptional care while building trusting relationships with her patients. She especially enjoys educating her patients, empowering them to make informed decisions about their dental health.
Meet The Doctors
Meet Dr. Sadaf Maknojia
A proud Houston native, Dr. Sadaf Maknojia has always been committed to serving her community. After graduating summa cum laude from the University of Houston, she pursued her dental degree with the goal of creating lasting, positive impacts in her patients’ lives. Known for her gentle approach and attention to detail, Dr. Maknojia provides care that is both thorough and comforting. She enjoys working with patients of all ages and helping families achieve smiles that are not only healthy but also beautiful and confident.
testimonials
What Our Patients Are Saying
Your Smile, Our Passion
Follow Us On Instagram
Explore
Our Dental Services
Family Dentistry
From routine check-ups and cleanings to preventive treatments, our family dentistry services are designed to keep smiles of all ages healthy. We emphasize education, comfort, and long-term oral health, so your family can enjoy confident smiles for years to come.
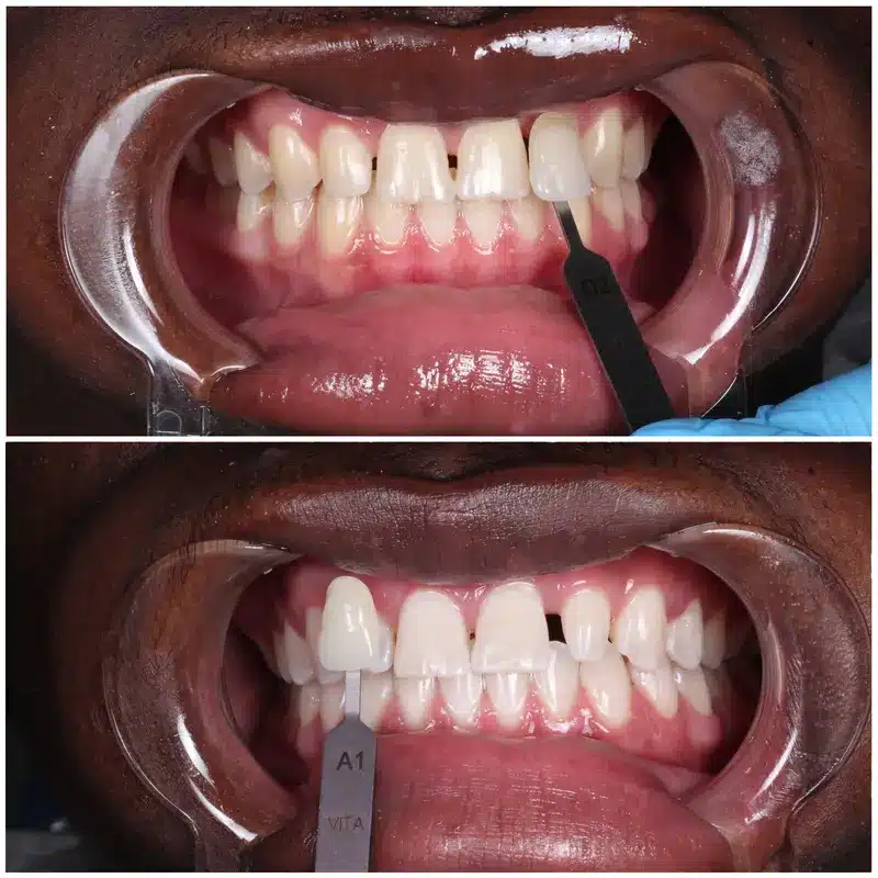
Cosmetic Dentistry
Enhance the appearance of your smile with our personalized cosmetic treatments. Whether you’re interested in teeth whitening, veneers, or bonding, we create beautiful, natural results that complement your unique features and boost your confidence.
Invisalign®
Straighten your teeth discreetly with Invisalign clear aligners. These custom trays are virtually invisible, removable, and comfortable—making them a convenient alternative to traditional braces for both teens and adults.
Restorative Dentistry
When teeth are damaged, decayed, or missing, our restorative dentistry solutions bring strength and function back to your smile. From crowns and bridges to dentures, we deliver natural-looking results that feel comfortable and last.
Root Canal Therapy
Save your natural tooth and relieve pain with gentle root canal therapy. Using advanced technology and techniques, we treat infection at its source, preserving your tooth and restoring your comfort.
Dental Implants
Replace missing teeth with durable, natural-looking dental implants. As a permanent solution, implants restore your ability to chew, speak, and smile with confidence, all while supporting long-term oral health.
Periodontal Disease Treatment
Healthy gums are the foundation of a healthy smile. Our periodontal care addresses gum disease at every stage, helping prevent further damage and restoring stability to your teeth and overall oral health.
Tooth Extractions
When a tooth cannot be saved, we provide gentle extractions with your comfort as our top priority. We also offer replacement solutions to restore the beauty and function of your smile afterward.
Orthodontics
Beyond Invisalign, we provide orthodontic care tailored to your needs. Our treatments correct misaligned teeth and bites, improving both aesthetics and function for a healthier smile.
Same-Day Emergency Care
Dental emergencies can happen at any time. That’s why we offer same-day emergency appointments to quickly address toothaches, broken teeth, and other urgent issues—bringing you fast relief when you need it most.
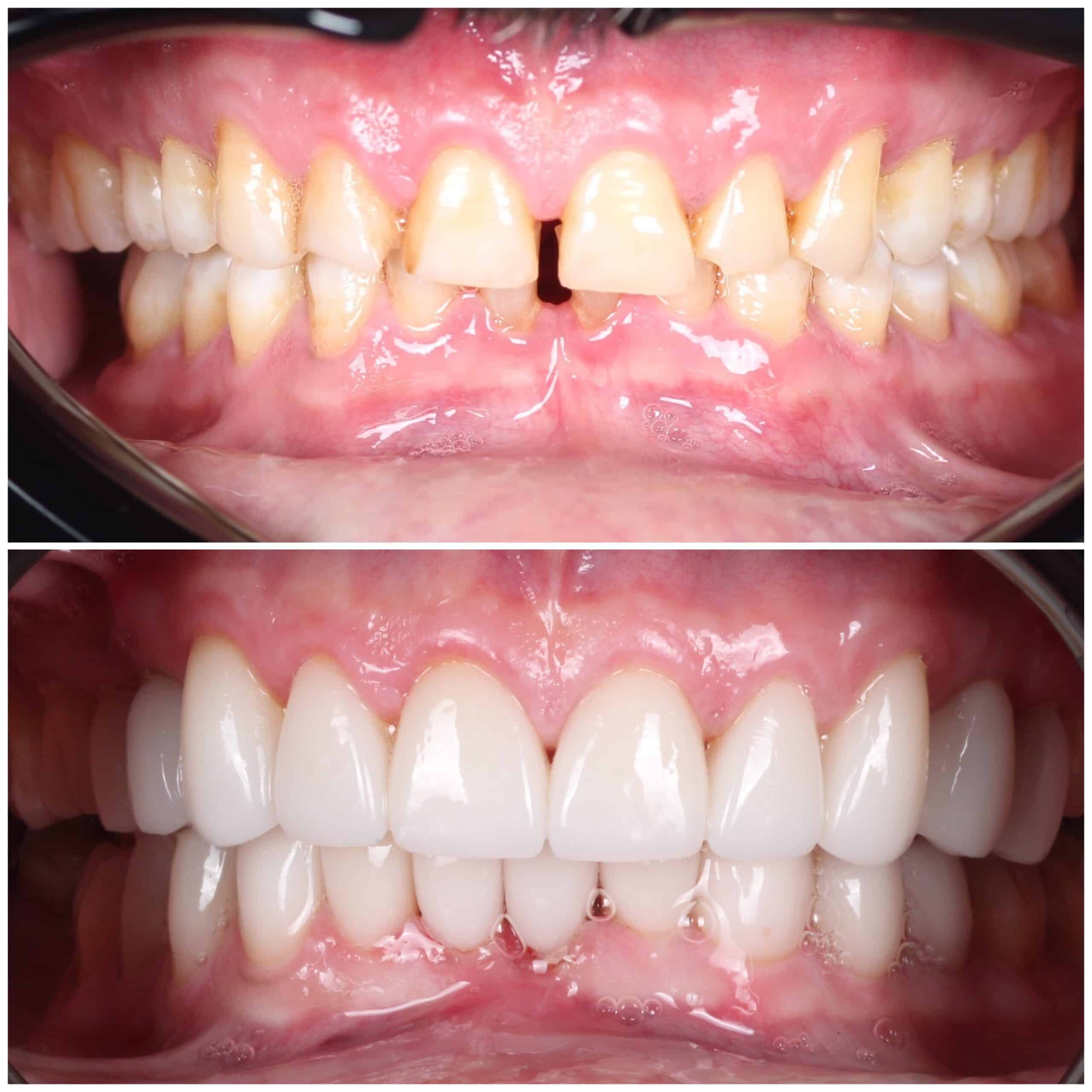
Before & After
Smile Gallery
Full-Mouth Rehab
Teeth Whitening
Single Veneer
Crown & Bridge